이로운치과의원

The Art and Science of Dentistry

치의학은 예술이자 과학입니다

치과에서 이루어지는 모든 진료 행위는
그 시작부터 끝까지 과학적인 근거가 있어야 합니다.

때로는 증상이 바로 해결되지 않는 답답함이 있더라도,
치아는 한 번 손상되면 재생될 수 없는 조직이기에
더욱 신중을 기할 수 밖에 없습니다.

진단이 확실해진다면 그 이후 치료계획의 수립부터
치료의 수행까지는 막힘이 없이 치의학적 관점에서
뚜렷한 기준을 세우고 진행해야 합니다.

이로운치과의원의 약속

이로운치과의 약속

이에 이로운치과는 다음과 같이 약속합니다

이로운치과의원의 약속

명확한 진단없이 비용 흥정부터 시작하여
당일 시술 및 당일 결제를 강권하는 섣부른 치료 방식은 지양합니다.

이로운치과의원의 약속

진단부터 치료까지
이로운 치과는 과학적이고 예술적이기도 한 완성도 높은 치과 진료를 위해 최선을 다해 노력합니다.

이로운치과의원의 약속

맹목적인 발치와 임플란트 시술 이외에 다양한 치료 방법을 제시합니다.

치과의사 조성민

치과의사 조성민

광주과학고등학교
서울대학교 공과대학 컴퓨터공학
조선대학교 치과대학 치의예, 치의학

통합치의학과 전문의

대한인공치아골유착학회
한국접착치의학회
대한통합치과학회
대한디지털치의학회

건강사회를 위한 치과의사회

치과의사 민희경

광주과학고등학교
연세대학교 사회과학대학 신문방송학
조선대학교 치과대학 치의예, 치의학

통합치의학과 전문의

스마일위드교정연구회
한국포괄치과연구회
대한통합치과학회
대한심미치과학회

건강사회를 위한 치과의사회

치과의사 민희경

이로운치과의 특징

이로운치과는 최선을 다해 치료합니다

01

가장 아날로그적인 치료부터
기본에 충실합니다.

이로운치과

이로운치과는 근관치료, 충치치료 시 러버댐을 사용한 치아 격리 원칙을 최대한 지킵니다.

이로운치과의 특징1
이로운치과의 특징1

이로운치과

복합레진을 이용한 수복치료 시 치아 본연의 외형을 재현하려 노력합니다.

이로운치과의 특징1

레진치료 전

이로운치과의 특징1

레진치료 후

02

장비에 투자를
아끼지 않습니다

장인은 도구를 가리지 않는다.
반은 맞고 반은 틀린 말입니다.
이로운치과는 치과 진단 장비,
치료 재료, 치료 장비에 투자를 아끼지 않습니다.

치아 제작시 국내 최고 수준의 장비를 보유한
디지털 치과 전문 기공소와 협업합니다.

이로운치과의 특징1
logologologologologo
logologologologo

03

간단하고 정확한
디지털 진료 방식을
지향합니다

많은 치과의사들이 보철 중심으로 계획된 임플란트 시술의 중요성을 인정합니다.
그리고 이 과정에서 디지털 치과로의 전환이 필요함을 인정합니다.
그러나 비용적인 문제, 새로운 장비 기술 도입의 두려움, 필요성을 못 느끼는 등의 이유로
디지털 진료 방식을 도입하지 못하고 있는 치과가 많습니다.

이로운치과의 특징1

이제는 임플란트 회사, 임플란트 브랜드 선택의 관점에서 벗어나서 임플란트 수술 진단부터 최종 치아 제작까지. 이 모든 과정에서 보철학적 목표를 디지털 방식으로 어떻게 완성해 내는지가 선택의 관점이 되어야 합니다.
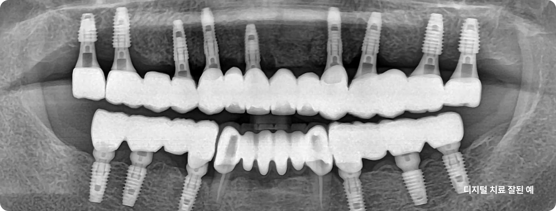
이로운 치과는 간단하고 정확하며 안전한 치료를 위한 디지털 진료 방식을 지향합니다.

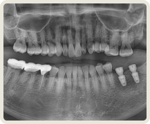
아날로그 치료 잘못된 예

이로운치과의 문제 예방이로운치과의 문제 예방이로운치과의 문제 예방이로운치과의 문제 예방

잘 못 심은 임플란트의 예시입니다.
이로운 치과는 디지털 진료를 통해 정확한 임플란트 식립 위치를 파악하여
아날로그 치료에서 발생할 수 있는 문제를 예방합니다.

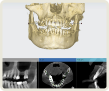
이로운치과 치료 과정

이로운치과의 디지털 임플란트 과정

1
implant

CT

2
implant

Oral Scanner

3
implant

3Shape Implant Studio

4
implant

3D Printer

5
implant

15년 노하우의
디지털 가이드 임플란트 수술

6
implant

Oral Scanner

7
implant

Custom Abutment Design and Milling

8
implant

Zirconia Crown Design and Milling, Sintering

모든 과정은 이로운치과의 의료진과 디지털 치과기공 전문인 와이앤씨 기공소 와의 긴밀한 커뮤니케이션 하에 협업하여 진행합니다.

quite

저희 디지털 치과 전문 기공소인 와이앤씨 기공소와 이로운치과가
긴밀히 협력하여 최상의 결과를 얻도록 노력하겠습니다.

이용철

와이앤씨 기공소 소장

quite

이로운치과 디지털 임플란트 비용

치과 과정 하나하나 최신 디지털 장비와 치의학의 정수를 담았습니다.
임플란트 치료, 비용의 비교는 쉽습니다.
다만 반드시 그 비용에 포함된 내용까지 같이 비교하여 주시길 바랍니다.

디지털임플란트 개인 맟춤 디지털 수술 가이드

디지털임플란트 덴티움 임플란트

디지털임플란트 환자 맞춤형 지대주

디지털임플란트 CAD/CAM 지르코니아 크라운

이 모든 술식, 장비, 소프트웨어 노하우가 집약된
이로운치과의 디지털 임플란트

89만원~
(시술 난이도, 골 이식 등에 따라 비용이 달라질 수 있습니다)

implant

이로운치과 둘러보기

  • interior01
  • interior02
  • interior03
  • interior04
  • interior05
  • interior06
  • interior07
  • interior08
  • interior09
  • interior10

이로운치과 오시는 길

진료시간

평일 09:30 ~ 18:30
토요일 09:30 ~ 13:00
점심 13:00 ~ 14:00

연락처

Tel. 033-900-2828
Fax. 033-900-2829

주소

강원도 원주시 영랑길 14-2,
청연재빌딩 2층
(행구동 SG마트 뒷편
우리산부인과 건물 2층)